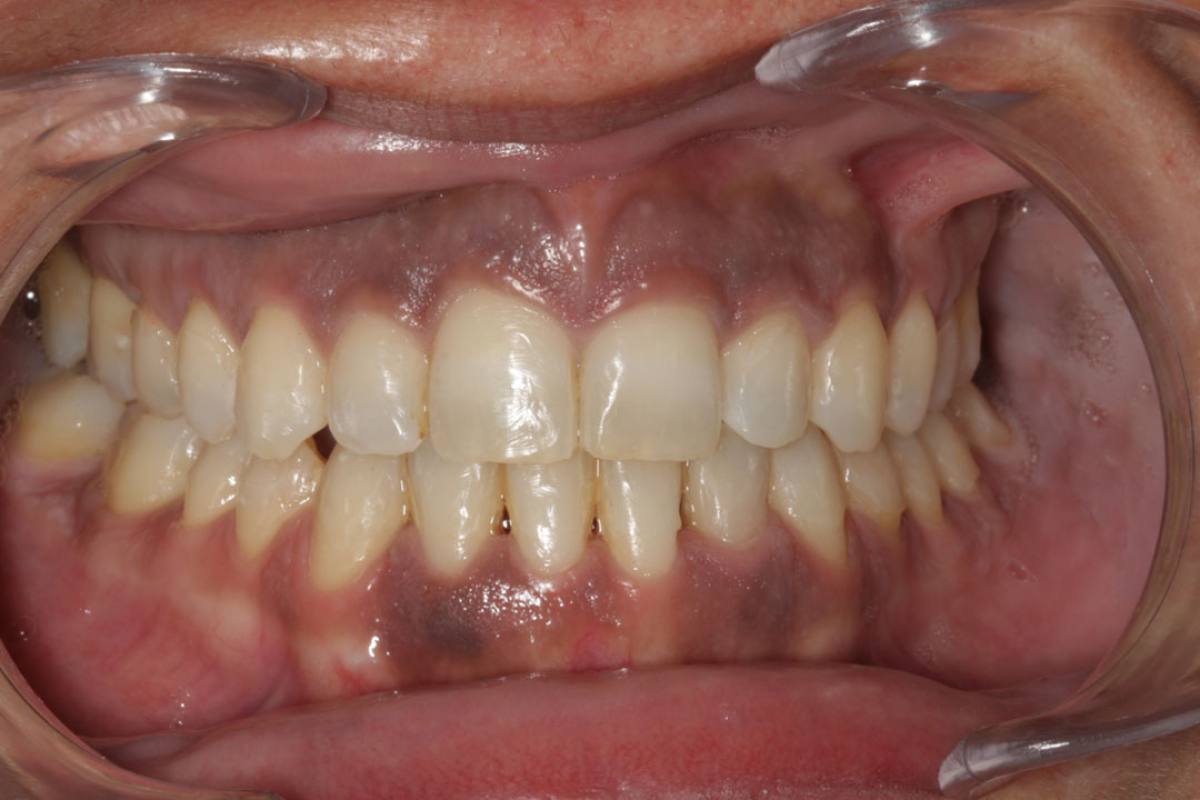
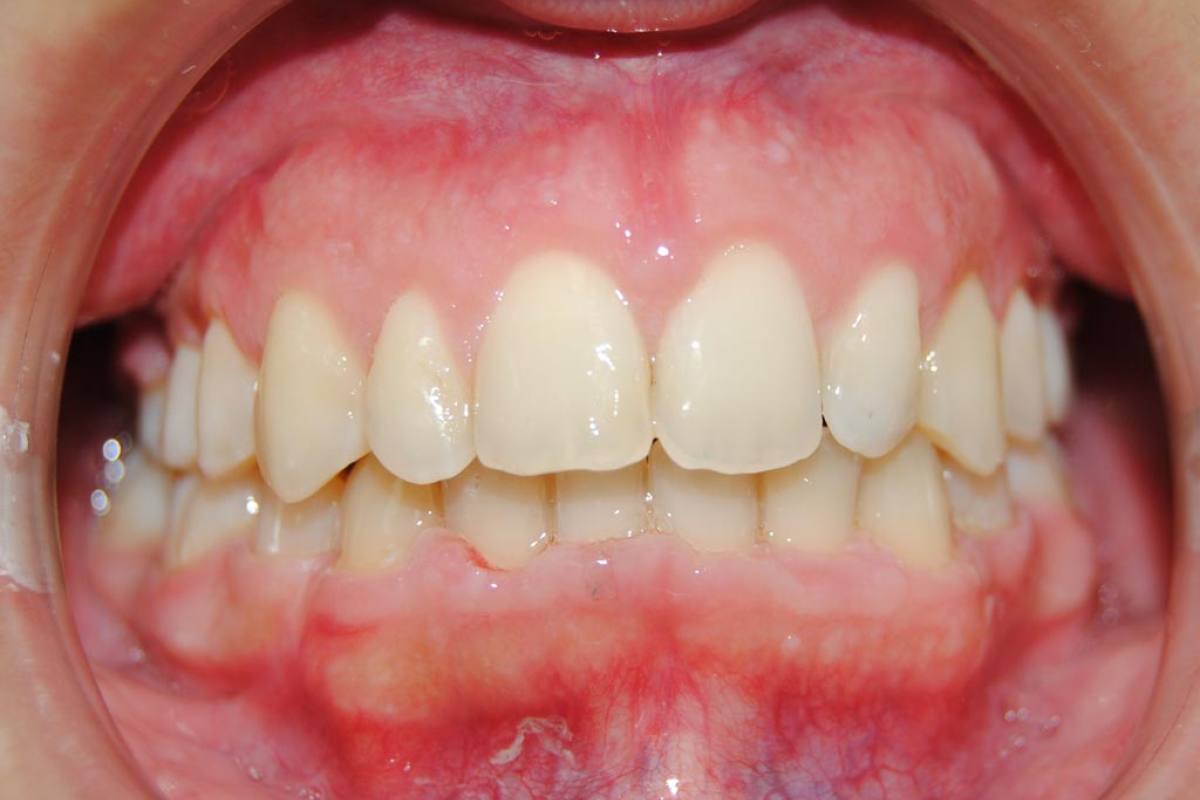
Curso de Odontopediatría en Cádiz: formación práctica para higienistas dentales
La 11ª edición del Curso de Odontopediatría y actualización en cariología en Esprohident Escuela ha vuelto a confirmar su posición como una formación de referencia en odontopediatría en Cádiz. Celeb…